close

本病例為一隻年約2歲的兔子,主人發現時後肢已經無法負重,經兔友介紹後送至本院

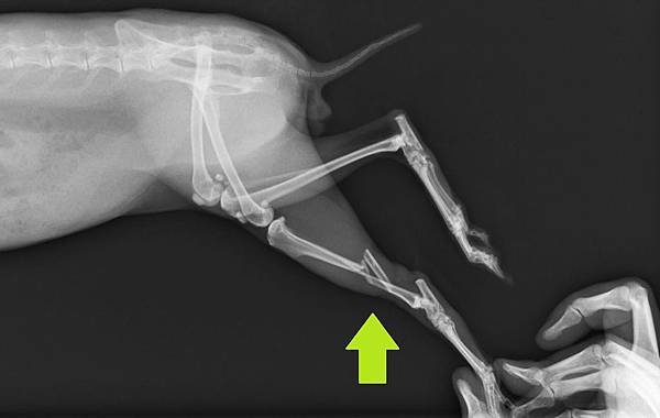
拍攝X光後確認骨折部位為右後肢脛骨骨幹粉碎性骨折

  70_203_20120329215626.0就診時脛骨側照

70_204_20120329215857.0 就診時脛骨正照

主人想儘量保存愛兔的腳,不希望截肢,經醫師檢查及評估後認為手術修復可行性很高,經留院一夜觀察及初步處理後於隔日進行手術


70_205_20120329235008.0 手術後側照

70_206_20120329235205.0  手術後正照

手術採取骨髓內釘合併環紮鋼線修復,手術後配合軟包紮及限制活動4周,癒合良好

本院常見兔骨折病例中,以後肢骨折為最多數,其中又以後肢脛骨骨折最常見

造成脛骨骨折的原因常見有:高處摔落,踩到,籠舍卡住後掙扎,在發生骨折時常造成粉碎性骨折


家兔骨骼皮質比起一般犬貓要堅硬,但相對要更易碎,一般在犬貓使用的骨板或骨外固定方式容易造成骨骼碎裂

許多醫師因而建議截肢,這其實相當可惜


以兔子的骨折修復方式而言,本院多採骨髓內釘配合環紮鋼線修復

在日新月異的骨科技術中骨內固定屬於較舊式的骨折修復技術,但考量到家兔骨骼特性而言,這種修復方式仍是最適用於兔子骨折修復的方式

在本院醫師對家兔骨骼特性有充分的了解及對技術有充足的熟悉度的狀況下,成功的讓病患保住了牠的腳,

現在牠可以繼續用四隻腳快樂的奔跑

圖文內容均為本院原創,如需轉載,須註明出處

全站熱搜
創作者介紹
創作者 darwinhp 的頭像
darwinhp

達爾文動物醫院

darwinhp 發表在 痞客邦 留言(0) 人氣()